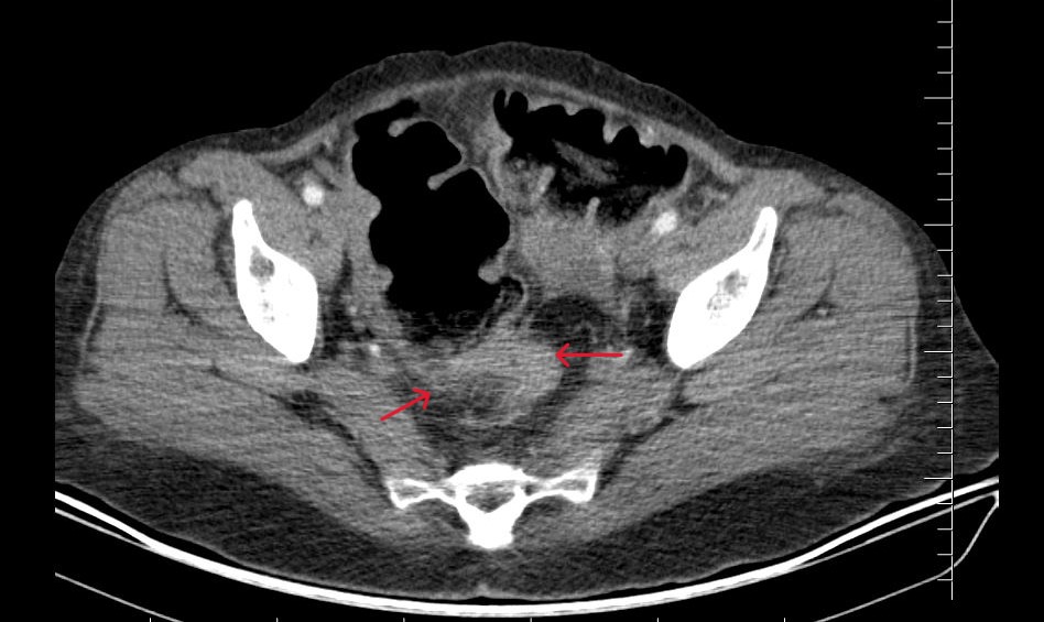
VİRANŞEHİR- Şanlıurfa’nın Viranşehir ilçesinde, Devlet Hastanesi’nde rektum kanseri teşhisi konulan 40 yaşındaki kadın hasta, başarılı bir operasyonla sağlığına kavuştu.
Karın ağrısı ve uzun süredir devam eden kabızlık şikâyetiyle hastaneye başvuran hastaya yapılan detaylı tetkikler sonucunda rektum kanseri tanısı konuldu. Genel Cerrahi Uzmanları Op. Dr. Hanifi Furkan Yıldız ve Op. Dr. Muhammed Furkan Karadoğan tarafından gerçekleştirilen ameliyat, kanser cerrahisi prensiplerine uygun şekilde başarıyla tamamlandı.
Operasyon sonrası sağlığına kavuşan hasta, şifa ile taburcu edilirken, onkolojik tedavisinin devamı için ileri bir merkeze yönlendirildi.
Viranşehir Devlet Hastanesi’nde genel cerrahi alanında apandisit, safra kesesi, fıtık, hemoroid, pilonidal sinüs (kıl dönmesi), tiroid ve kanser cerrahisi gibi birçok operasyon, uzman hekimler tarafından başarıyla gerçekleştiriliyor.


Yorumlar
Kalan Karakter: